徐州市中医院泌尿外科在淮海经济区率先开展输尿管软镜碎石取石手术,具有创伤小、恢复快等优势。由于传统输尿管软镜激光碎石后自行排石或术中结合套石篮取出,存在术后结石残留率较高、排石时间过长、甚至需要二次碎石手术等问题,因此多数仅用于小于2cm结石的治疗。对于肾脏内直径超过2cm的结石,大多数需行经皮肾镜碎石取石术或多次输尿管软镜碎石取石。
为了让结石患者最大获益,徐州市中医院泌尿外科不断突破创新,开展了新技术“末端可弯曲负压吸引鞘输尿管软镜碎石取石手术”解决了上述问题,并常规应用于各类上尿路结石患者,处理大于2cm以上结石,已成功开展数十例。
孤立肾遇上肾结石
多方求治
今年65岁的王女士,在6年前因肾结石接受过左肾切除手术。万万没想到,6年后再次检查出右肾结石。对于这个孤立肾结石,她曾到多家医院就诊,寻求医治,但均被告知手术难度大、风险高。
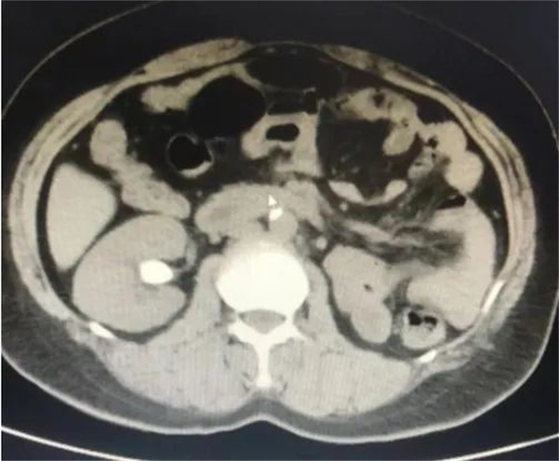
万般绝望之际,王女士多方打听,在朋友的推荐下来到徐州市中医院泌尿外科就诊。入院后,经CT检查显示,王女士右肾下盏结石,直径为2.1*1.6cm,结石CT值1360Hu,初步判断为草酸钙结石。

右肾结石(术前)
运用新技术
安全高效碎石清石
徐州市中医院泌尿外科郑典宝主任团队经过综合考虑和术前精心准备,为王女士实施在全麻下末端可弯曲负压吸引鞘输尿管软镜碎石取石手术,运用铥激光粉末化模式将结石击碎成粉末,利用负压吸引装置联合末端可弯曲负压吸引鞘将结石粉末吸出体外。

模式图
(负压吸引,边碎边吸,高效清石)
这一术式可做到术中视野清晰,持续肾内低压,降低脓毒血症概率,且术中即刻清除结石,结石残留率低,因此缩短患者术后留置双J管的时间,从而减轻了留置双J管引发的各种不适(血尿、腰痛等),由此保证了手术的安全性及高效碎石清石。

术后X线显示结石被完全清理干净

术中被吸出的结石粉末
术后第三天,王女士便痊愈出院,出院之际,对科室的医护团队连连称赞,感激不已。
徐州市中医院首家引进“末端可弯曲负压吸引鞘”,具有“随镜而弯、直达肾盏、镜鞘同行、与石俱进、高效清石、缩短涡流行程,降低肾内压”等特点,相较于传统软镜具有明显的优势,也成功避免了部分需经皮肾镜碎石取石术的患者治疗,且结合快速康复理念,术后麻醉清醒后即刻下床活动、进食、次日出院。
专家简介

郑典宝 医学硕士
主任医师 教授
从事泌尿外科疾病微创治疗,主要方向为泌尿系统结石微创治疗及前列腺激光剜除,泌尿系肿瘤的诊治。现任:徐州市中医学会泌尿外科专委会主任委员,徐州市医学会男科学专委会副主任委员,徐州市抗癌学会泌尿生殖肿瘤专委会
副主任委员,徐州市医学会泌尿外科学专委会 常委,江苏省康复医学会男性康复专委会常委
专家门诊:周四 全天
咨询电话:15062106588