肠套叠是一种儿童常见的急性腹痛疾病,好发于2岁以内的婴幼儿,尤以4-10月龄为高发。如肠套叠发生48小时之内确诊,通常只需要进行空气灌肠就能马上解决问题,但如果耽误了这个时机,很有可能进一步加重病情。有时候因为疏忽到医院的时候已经出现了肠梗阻、肠出血甚至肠坏死了,这个时候就只能通过手术解决了。
以下是婴幼儿肠套叠的一些症状,家长们请务必关注:
1. 阵发性剧烈腹痛:宝宝会突然出现剧烈的腹痛(婴儿表现为大声哭闹),一般为间歇出现,在发作间歇期内神志自如。
2. 恶心与呕吐:宝宝可能感到恶心并频繁呕吐,这是肠套叠的一种常见症状。
3.腹部肿块:在哭闹间隙,如果宝宝肚子柔软的情况下,您可能会在宝宝腹部感到一个明显的肿块。
4.大便异常:宝宝的大便颜色异常,可能会出现暗红色,类似果酱样的情况,这些都是肠套叠可能引发的问题。
肠套叠按照发病原因可以分为特发性和继发性两种,其中特发性占90%以上,其发病原因尚不清晰,可能与饮食改变、神经失调、病毒感染有关。继发性多见于年长儿,其发病原因主要见于肠息肉、梅克尔憩室、肠重复畸形、肠道肿瘤等。
肠套叠的预防主要有几分方面需要注意:
1.做到科学喂养:合理安排宝宝的喂养时间,避免过度喂食和快速喂食,以减少肠道过度扩张的风险。尤其是在添加辅食时期,尽量满六个月开始添加辅食,要循序渐进,遵循一次只添加一种新食物的原则,一般食用3-5天后无明显不适,开始添加下一种新食物。
2.注意气温变化: 尤其是在季节交替时期,及时增减衣物,避免肠蠕动紊乱。
3.促进适当运动:鼓励宝宝进行适当的运动和活动,避免久坐不动的情况发生。
4.注意避免腹泻:尤其是秋季的高发期,有肠道感染应及时治疗。
5.干预继发因素:如果您的宝宝在以往检查中发现了一些容易诱发肠套叠的病变,也需要及时干预。
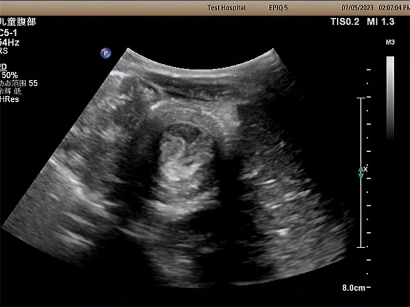
彩超检查是一种无创、安全、有效的检查方法,可以帮助医生准确诊断宝宝是否患有肠套叠。下面与家长分享肠套叠彩超检查的相关注意事项。

以下是家长们需要了解的事项:
1. 彩超检查的准备:肠套叠的彩超检查很多都是在夜间急诊进行的,故无需特殊准备。
2.
检查过程:彩超检查通常由专业的医生或技师进行。在检查过程中,医生会将一小部分凝胶涂抹在宝宝的腹部,然后用探头轻轻滑动在腹部上,以获取肠道的图像。这个过程通常不会给宝宝带来任何不适或疼痛。
3.
安全性和效果:彩超检查是一种无创的检查方法,不会对宝宝的健康造成任何伤害。它可以提供清晰的图像,帮助医生准确诊断肠套叠,并及时采取必要的治疗措施。
4. 注意事项:在彩超检查前后,家长们需要注意以下事项:
- 检查前,请确保宝宝的腹部干燥和清洁,避免使用油脂或乳液等物质(尤其使用肚脐贴之类的时候,需要先清理一下)。
- 检查期间,请尽量保持宝宝的安静和放松,以便医生能够获得清晰的图像。
- 检查后,请按照医生的建议进行后续治疗(是否进食进水请遵从医嘱)。