儿童不是缩小版的成人, 儿童骨骼在解剖、生理学方面具有自己的特点, 所以不能用治疗成人骨折的手段治疗儿童骨折 。
儿童四肢骨折较为常见,保守治疗仍是儿童骨折的重要 治疗方法之一,如牵引,单纯石膏固定等。
往往用时较长,患儿的舒适程度不够,影响患儿及时返回学校学习,这些因素越来越多地影响儿童骨折治疗方法 的选择
。儿童骨折手术治疗的比例较前增加,而传统的手术治疗创伤大,恢复慢,并发症多,如钢板,那是针对成人骨折研发的,用一个坚硬的内固定物固定一个有弹性的骨组织是一个矛盾
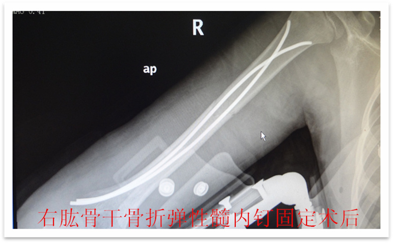
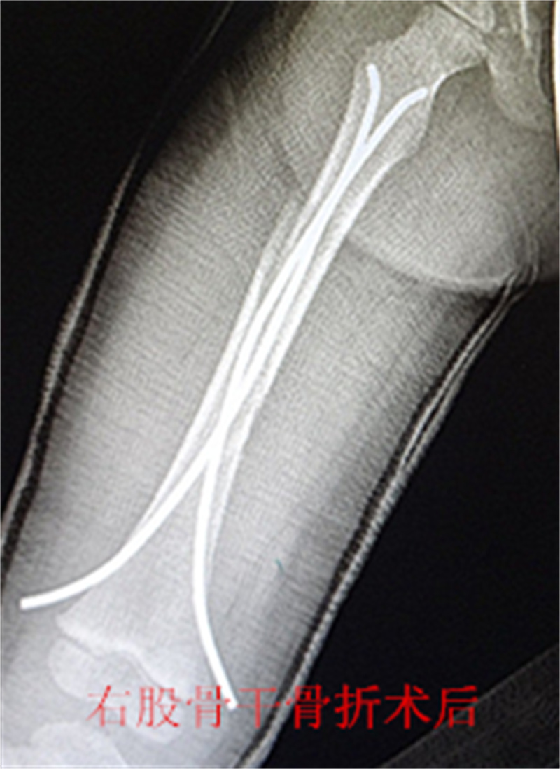
,弹性髓内钉内固定解决了这个矛盾。有人说,弹性髓内钉的出现是上天对儿童的恩惠。的确,弹性髓内钉是治疗小儿长管状骨骨骨折的一种理想、可靠的内固定方法。弹性髓内钉技术发源于法国,在欧洲广泛应用后,现已为全球所接受,被称为是儿童骨科界的一次革命。徐州儿童医院骨一科应用弹性髓内钉技术治疗四肢长管状骨骨折,具有创伤小、恢复快、并发症相对少,孩子能较快恢复正常生活、学习等优点。该技术先将骨折闭合复位,通过微小的切口将特制的弹性髓内钉置入骨髓腔,达到固定骨折的目的。适用于肱骨,股骨,尺桡骨等部位的常见骨折(图)。



